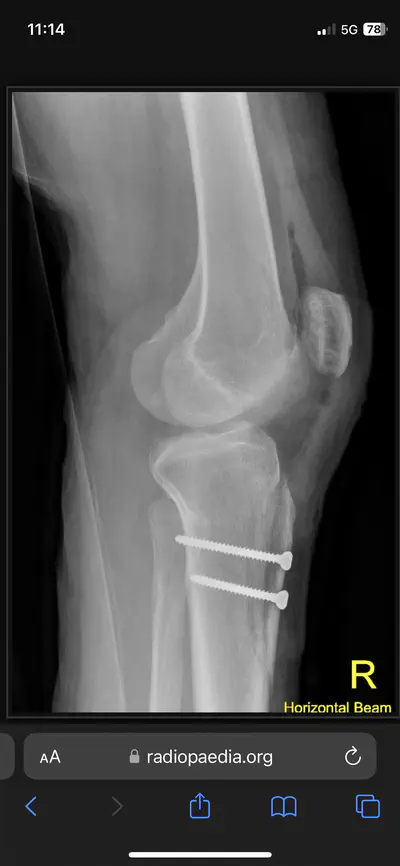
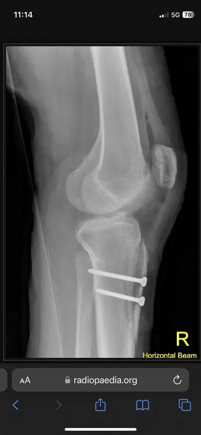
Tibial Tubercule Osteotomy
One of the things that happens to you, I guess, when you have a connective tissue disorder, is your bones don’t form right. I have dysplasia in both my hips, and in 2017 I had a procedure (periacetabular osteotomy, or PAO) to correct it on one side. They cut my pelvis in three places, removing the hip socket from the rest of my pelvis, which they then reoriented it and screwed back in place with three five-inch screws that are still inside me.

my actual hip
Suffice to say, that recovery was long, painful, and tedious (though not really as catastrophic as I’d anticipated).
Well, I got news last week that it’s osteotomy time again! This time it’s my knee.
Both my knees are malformed. My trochlea - the channel that the patella is supposed to sit in - is too shallow, or the wrong shape, or something. Basically the same problem as my hips. As a result, my patellas track to the outside of my knee, which causes the cartilage to wear in ways it’s not supposed to. On my right side, all the cartilage behind one side of my patella is gone. It hurts like a motherfucker. It also leaves me prone to subluxations and dislocations, which hurt even worse.
I could have a total knee replacement instead, but replacements don’t last forever and they don’t like to do them more than twice. (Again, same exact scenario I was in with my hip.) In order to preserve my knee joint for another ten to fifteen years, so that I can start getting replacements at a normal age instead of way too young, they’re going to cut out the part of my tibia that the knee tendon attaches to, pull it to one side so my patella will track straight instead of out to the side, and screw that bad boy back in place.

not my actual knee
My surgeon took pains to explain to me that the recovery is long and difficult. I almost laughed in his face. Compared to the hip, this looks like a walk in the park. For one thing, I’ll be able to sit up in a chair without risking a stress fracture in my ischium (that spindly little bone at the base of the pelvis, and yes I really did stress fracture it just by sitting up too much). For another, you can immobilize a knee with a brace, while you can only immobilize a hip by, well, not moving. I was in the hospital for four days after my hip surgery; it will be one overnight for my knee. There’s just no comparison.
And in 2017, I had a 13-year-old and an 11-year-old. (Funny story: The day of my surgery, my husband stayed at the hospital with me and my mom was in charge of watching the kids, and she lost my son. It wasn’t her fault - she was supposed to pick him up at an after-school club, and she was running late, probably because she got lost [okay, a little her fault] and he decided to walk home, but he didn’t have a phone in those days so he didn’t tell anyone and no one could reach him, so we didn’t know where he was. My mom called me to tell me that my son had disappeared, and thirty seconds later the nurse came into my room to ask what the hell was going on with my heart rate. I was already hooked up to painkillers and I had to beg them to give me a xanax, which eventually did because they deemed it less harmful to my health than the panic attack. My son showed up at home an hour later after walking five or so miles between the club and the house. Moral of the story is always give your kids phones! The end.)
Anyway - I now have a second-year college student and a rising senior with a drivers license and his own car. They don’t need me to do anything for them. If I’m on the couch for three months, they’re not even going to notice.
So, that’s my summer plan. No travel for at least six weeks, which means I can’t visit my parents or my nephews - that’s the biggest bummer. No driving, either, because it’s my driving leg, so I’ll have to be chauffeured. Two to three weeks on opioid painkillers - it’s supposed to be a pretty painful recovery. Six to eight weeks on crutches - though, based on my experience with my hip and the rate at which my bones grow, probably more like twelve. Months of physical therapy building my leg muscles back up and relearning how to walk, again. And at the end of it, I may or may not be pain-free. But it should at least be a considerable improvement.
